OSTEOTOMIA FEMORAL DISTAL EN UNA JOVEN CON RAQUITISMO RENAL
Dr. Luis F Pintos
RESUMEN:
El Raquitismo Renal ú Osteodistrofia Renal, es una enfermedad de los primeros años de la vida, que no ha curado por completo y que se ha mantenido en estado de latencia durante 10 a 15 años de la infancia para luego, en un momento del crecimiento ó "segundo estirón", adopta formas graves a predominio renal y ortopédico a través de un hiperparatiroidismo secundario que genera la insuficiencia renal y gran parte de su notable detención del crecimiento.
En este trabajo presentamos la conducta quirúrgica ante el valgismo bilateral de rodillas, adelantándonos al trasplante renal, no sin prever los inconvenientes que dicho adelantamiento podía generar, especialmente de los planes inmunológicos a seguir. El hecho de que la osteotomía correctora se /levara a cabo antes del trasplante renal, fue motivado por la dificultad que padecía la enferma durante la marcha junto al deterioro estético declarado por la misma.
SUMARY:
Renal rhachitis or renal osteodystrophia is a disease of the early years of life which never remits completely, and remains latent for 10 to 15 years during childhood.
Then, in a second stage of rapid grow, it becomes severe with renal and orthopaedic predominance through a secondary hyperparathyroidism. The latter causes renal insufficiency leading to a notorius ceasing of growth.
The present study describes the surgical procedure in the case of bilateral knee valgus before the kid ney transplant, considering also the inconveniencies that might arise, especially in the immunological plans to be followed.
The fact of the corrective osteotomy being held before the kidney transplant was a consequence of the patient s walking difficulties and the aesthetical deterioratión she experienced.
INTRODUCCIÓN
Consideramos esta afección como un raquitismo florido de las que se presentan tardíamente en la época de la pubertad, entre los 12 y 18 años. En una parte de estos casos se trata de una enfermedad de los primeros años de vida, que no ha curado por completo y que se ha mantenido en estado de latencia durante gran parte dé la infancia.
Luego, en el momento del llamado "segundo estirón" adopta formas graves o raquitismo larvado ó bien de un raquitismo tardío propiamente dicho. Esta enfermedad provoca una notable detención del crecimiento y del desarrollo general, especialmente dé los caracteres sexuales secundarios.
La enfermedad puede ser denominada de la siguientes formas:
a) raquitismo renal
b) osteodistrofia renal
c) raquitismo por insuficiencia glomerular
d) hiperparatiroidismo secundario
e) osteodistrofia urémica
ETIOLOGÍA
No se conoce la verdadera etiología dé la patología qué nos ocupa a nivel ortopédico en la insuficiencia renal tardía y son varios los factores qué deben ser verificados qué convergen para la misma afección.
Es sabido que aparecen en niños en crecimiento con gran actividad metabólica y qué se diferencian de la osteomalacia del adulto. Esta puede considerarse como el raquitismo renal que pasó los veinte años.
Como consecuencia del abrupto aumento dé la concentración de la hormona paratiroidea en sangré, surgirá luego la consecuente hiperplasia paratiroidea secundaria en la insuficiencia renal crónica.
Dentro de las posibilidades sé considera que la hipocalcemia es generadora dé hiperplasia paratiroidea presentada en él raquitismo renal, sin embargo otro factor sería la acidosis del medió interno.
Es sabido que la composición ósea en presencia de uremia alta, presenta pérdidas crecientes dé bicarbonato, por lo tanto no sé lleva a cabo el mecanismo homeostático que neutraliza el medió ácido.
Paralelamente el suero dé los pacientes con raquitismo renal no calcifica el cartílago raquítico de la rata in vitro, cuando si lo logra un suero con valores normales de calcio y iones fosfatos.
ANATOMÍA PATOLÓGICA
Los cambios raquíticos consisten en la falta de sustitución de las células cartilaginosas en proliferación, por hueso nuevo. Se observará entonces abundante tejido osteoide que se deposita en las trabeculas óseas, con nidos residuales dé células cartilaginosas.
El signo histológico característico del hiperparatiroidismo, es la resorción osteoclástica de hueso con osteítis fibrosa y la medula grasa normal, es sustituída por tejido fibroso hiperplásico. En este estado convergen las lesiones primarias verificadas en riñones y en vías urinarias.
ANTECEDENTES
La paciente que presentamos concurre por primera vez a la consulta el 14 dé junio de 1990 con 22 años de edad.
A los 13 años le detectan proteinuria sin signos ni síntomas de enfermedad renal ni ortopédica.
A los 15 años sus piernas solo presentaban un simple valgismo con dolor en ambos pies, aún con él uso de zapatos sin tacos. En este momento se le declara una escarlatina con anginas pultáceas y a los 10 días sé detecta glomerulonefritis.
A los 16 él dolor va en aumento especialmente al intentar correr, luego dos años mas tarde al salir del colegió, nota la primera dificultad en la marcha con aumento de su valgismo en rodillas. A partir de allí las limitaciones avanzan rápidamente y por él marcado valgismo sé recluye en su domicilió utilizando poco sus miembros inferiores.
Sé suma a esta evolución él crecimiento tardío y solo alcanza la talla dé 135 cm.
A los 20 años le descubren hiperparatiroidismo secundario con reflujo grado tres vésico-ureteral derecha e insuficiencia grado cuatro de sus riñones que actuaban a un 20% dé su capacidad.
Los períodos espaciados interconsultas son debidos a etapas dé cuadros depresivos de la enferma, por falta de colaboración de la misma con los médicos y especialmente por la poca predisposición del grupo familiar para llevar a cabo controles periódicos. Esto último, creemos fue producto de un deseo de ocultar la enferma, debido a su dificultad para deambular. Por último, comienza con diálisis tres veces por semana y los nefrólogos la derivan a mi consultorio por el deterioro osteoarticular.
CUADRO CLÍNICO
A la inspección se observa postura levemente escoliótica corroborada como incipiente radiográficamente y atribuible a la posición compensadora generada por el marcado valgismo de rodillas. Los pies valgos y dicho aumento del ángulo Q de rodillas obligaban a un desplazamiento dificultoso y hasta torpe, posiblemente por el reblandecimiento de sus huesos largos.
El dolor del momento de la consulta era referido a sus dos tobillos, especialmente sobre los maleolos peróneos.
Las muñecas presentan engrosamiento dista) y los dedos de las manos hiperextensión de falanges en recurvatum. El tórax vulgarmente llamado "de paloma", es generado por la proyección del esternón producto de su escoliosis. El cráneo más grande de lo normal y asimétrico con prominencia frontal es como consecuencia del engrosamiento de sus huesos parietales y frontales.
Las manifestaciones generales son, psiquismo conservado con alto nivel intelectual origen de depresiones al leer todo lo que llega a sus manos referente a su enfermedad. Presenta trastornos nutricionales, esplenomegalia, sudoración de la cabeza, disminución del vello pubiano y bronquitis a repetición junto a manifestaciones urológicas producto del déficit funcional.
A partir de este momento comienza la espera por un trasplante de riñón y debemos tomar la iniciativa en cuanto a realizar la osteotomía correctora del valgismo, que generaba un importante cuadro depresivo de la paciente, por lo que en muchas ocasiones negaba colaboración a los tratamientos médicos.
Luego de varias interconsultas con nefrólogos, fue evaluada si la osteotomía debía anticiparse al trasplante o viceversa. Se decide por la osteotomía correctora de la rodilla izquierda atentos al cuadro depresivo de la enferma, por el cual se recluía en su domicilio.
RADIOGRAFICAMENTE
Las alteraciones que nos llaman la atención son las epifisiarias. Estas están ensanchadas y en el caso de las rodillas con un valgismo de 27° recordando como aceptable, el valgo de 10° ó. funcional.

Control de rodilla izquierda pre-quirúrgico el 1 de agosto de 1991
El cartílago de conjunción ensanchado se continúa en dirección a la diáfisis con una zona osteoporóticá o tejido osteoide en metáfisis de la tibia, por lo que se decide realizar la osteotomía varizante a nivel femoral.
Las cortesas óseas están disminuidas tanto las femorales como las tibiales, como así también las trabeculas óseas de modo que determina el aspecto de "vidrio esmerilado". Las falanges distales de las manos presentan resorción ósea propio del hiperparatiroidismo.
El cráneo ofrece en su base osteoporosis junta a la incipiente escoliosis dorso-lumbar.
EXÁMENES COMPLEMENTARIOS
Aumenta la uremia, el fosfato inorgánico y la fosfatasa alcalina con hipocalcemia.
No hay hipercalciuria. Todos los valores son controlados por el servicio de nefrología.
El E.C.G está dentro de los límites normales. Se opera el 16 de agosto de 1991.
CONSIDERACIONES PRE Y POST QUIRÚRGICAS
Antes de la operación efectuamos durante tres meses tratamiento conjunto con nefrología suministrando vitamina D controlando que no derive en hipercalcemia pues el colecalciferol se almacena en el hígado. En los 15 días previos al quirúrgico, no se suministró.
Por otra parte, la enferma continuaba con diálisis tres veces por semana sólo suspendida el día de la operación.
En el postquirúrgico ya a las 24 horas pasó al Servicio de Nefrología para su control, al cabo de los tres días de internación, se da el alta domiciliaria y comienza con movilidad temprana de los grupos musculares realizando ejercicios isométricos de cuádriceps, con la finalidad de evitar la desmineralización ósea.
La indicación quirúrgica fue tomada cuando la enferma dejó de presentar hiperazoemia con corrección de la anemia y la deshidratación.
La osteotomía de la rodilla derecha, se realiza siguiendo las mismas indicaciones pre y postquirúrgicas a las que fue sometida la rodilla izquierda y se lleva a cabo dos años después el 29 de octubre de 1993.
TÉCNICA QUIRÚRGICA
Con técnica de Aglieti, bajo anestesia peridural sobre mesa ortopédica e intensificador de imágenes, se realiza incisión lateral en muslo mediante la cual se separará el recto anterior del vasto externo. Se expone el tercio distal del fémur para realizar una V en el plano sagital comenzando por una marcación puntiforme con mecha delgada, iniciando por el vértice de la V, a dos traveces de dedo por encima del cóndilo externo.
Dichas perforaciones facilitan la sección final del hueso y nos dá una idea justo del plano a osteotomizar, esta se lleva a cabo por escoplo. Una vez obtenida la osteotomía total se corrige el valgismo varizando el cabo proximal, luego de verificar la correcta alineación deseada, se mantiene en posición con dos alambres de Kirschner entrecruzados.
Los extremos metálicos se seccionan al ras son cubiertos con partes blandas y cierre por planos. Luego inmovilización enyesada por 30 días inguinopedio, para al cabo de dicho período recortar transformándolo en calza por treinta días más.
A los sesenta días se retira el escayolado y comienza a deambular apoyando en ambas piernas mediante el uso de muletas realizando la carga del peso de menor a mayor.

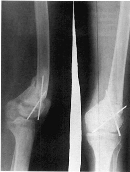
Control radiográfico de rodilla izquierda post-quirúrgico el 18 de octubre de 1991
Realiza rehabilitación kinesiológica sin fisioterapia.
A los seis meses se retiran los alambres de Kírschner pues hacían procidencia sobre la piel.
RESULTADOS
1- Complicaciones postquirúrgicas
No hubo complicaciones infecciosas. No hubo desequilibrios del medio interno, pues tuvo control en el Servicio de Nefrología desde las 12 hs. inmediatas al acto quirúrgico.
Sin limitaciones pasivas ni activas, deambula con el uso de muletas sin apoyo del miembro operado los primeros sesenta días.
2- Resultados funcionales
A los 30 días se transforma el yeso cruropedio en calza sin apoyo.
A los 60 días se quita el yeso y puntos, se agregan soportes plantares con realce de 1 cm. en calcaneo del miembro inferior derecho por la diferencia de ejes.

8 de diciembre de 1992 Rodilla izquierda en eje, mientras la rodilla derecha continúa valga
Realiza rehabilitación kinesiológíca con ejercicios musculares para aumentar diariamente la descarga del peso en ambas piernas por igual.
No usa muletas para evitar la fricción sobre el gorotex de la diálisis.
3- Resultados radiográficos
Controles radiográficos demuestran consolidación en eje y dentro de los plazos establecidos para el tipo de osteotomía sin déficit de consolidación previstos por la patología renal.
Este es el punto saliente de nuestro trabajo, pues fue motivo de dudas prequirúrgícas al determinar la osteotomía previa al trasplante renal.
DISCUSIÓN
La osteotomía fue y será una técnica exitosa cuándo se aplica sobre una zona ósea indicada siguiendo experiencias propias y ajenas.
Lo que aquí estaba en discusión era el momento de llevarla á cabo, sí previa al trasplante ó posterior á este y cuánto podría alterar los planes inmunológicos á seguir.
Por otro lado teníamos la urgencia presentada por la enferma, debido al deterioro físico el cuál aumentaba día á día, debido al marcado valgismo bilateral y recordando que se daba en una enferma de 1.35 m de altura, con 22 años de vida.
Por último, hoy á los 10 años de la primera osteotomía en su rodilla izquierda podemos observar radiográficamente que las dos osteotomías están consolidadas en eje e indoloras cumpliendo los movimientos comunes de la marcha sin claudicaciones.

Control realizado el 8 de julio del 2001 Osteotomías consolidadas y alineadas. Marcha normal
La recuperación muscular es óptima para la vida que realiza
la enferma como estudiante universitaria.
Como antecedente pesimista nos queda que en 1997 recibió un trasplante
de una persona mayor y lo rechazó, por lo que en la actualidad
continúa con diálisis tres veces por semana.
ACTUALIZACIONES
El 21 de diciembre de 2004 su nefrólogo le observa fosfatasas
alcalinas aumentadas a un valor de 3000 unidades Bodansky ello
le generaba descalcifición generalizada, por lo que se
indica la resección de las paratiroides.
El 11 de enero de 2005, luego de una caída en la calle
se le detecta fractura basicervical de cuello de femur derecho,
encajada en varo.
En marzo de 2005 le realizan resección total de paratiroides
por hiperplasia de las mismas.
Mientras tanto camina con andador indolora esperando la recomposición
de los valores en sangre, del calcio y fosfatasa alcalina especialmente.
El 23 de noviembre de 2006 se realiza reducción y osteosíntesis
de la fractura de femur con dos clavos canulados de Knowles.
El 19 de abril de 2006 se extraen los clavos y camina indolora
BIBLIOGRAFÍA
- H.R. Schinz W. Baensch y E. Fredl - Rontgen Diagnóstico- Cap. Raquitismo Tardío Edit. Salvat Editores Barcelona 1932- Vol. 1 pag. 321
- Tachdjian Mihran - Ortopedia Pedriatrica - Cap. 3 Osteodistrofia Renal - Edit Interamericana Segunda Edición 1990 Vol. 2 pag. 983
- Campbell- Crenshaw- Cirugia ortopédica - Cap. 41 Trastornos no traumáticos diversos -Edit Panamericana- Octava Edición 1994 - Vol. 3 pag. 1911
|